管理人

顕微鏡写真集

ユリの葯・横断面/lilium anther (Cross-Section)

ユリの葯(やく)を顕微鏡観察。横断面(C/S)(使用機材:SWIFT Stellar1 Pro-T)
顕微鏡写真集

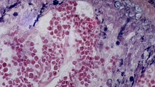
プラナリア・横断面/Planaria (Cross-Section)

プラナリアを顕微鏡観察しましょう。横断面(C/S)(使用機材:SWIFT Stellar1 Pro-T)プラナリアは著しく高い再生能力を有するため、昔から学校の生物の授業で取り上げられたり、生物学の研究対象とされてきました。(もう何十年も前...
顕微鏡写真集

ティリアの茎・横断面/Tilia Stem (Cross-Section)

ティリアの茎を顕微鏡観察。横断面(C/S)(使用機材:SWIFT Stellar1 Pro-T)
顕微鏡写真集

小麦の茎・横断面/Wheat Stem (Cross-Section)

小麦の茎を顕微鏡観察。横断面(C/S)(使用機材:SWIFT Stellar1 Pro-T)
顕微鏡写真集

イネの茎・横断面/Rice Stem (Cross-Section)

稲の茎を顕微鏡観察。横断面(C/S)(使用機材:SWIFT Stellar1 Pro-T)
身近なもの

ミニトマトの皮を顕微鏡観察

前回、ぶどう(巨峰)の果皮表面を顕微鏡観察しました。同様の手法で、今度はミニトマトの皮を顕微鏡観察してみましょう。ミニトマトの表皮に傷をつけ、ピンセット等を用いてそこから表皮(薄皮)をはぎ取り、スライドガラスの上に乗せます。スライドガラス上...
顕微鏡写真集

ミツバチの前脚/Bee’s Foreleg

ミツバチの前脚を顕微鏡観察。(使用機材:SWIFT Stellar1 Pro-T)
顕微鏡写真集

トウモロコシの茎・縦断面/Corn Stem (Longitudinal-Section)

トウモロコシの茎を顕微鏡観察。縦断面(L/S)(使用機材:SWIFT SW380T)
顕微鏡写真集

クエン酸の結晶/Citric Acid Crystals

クエン酸の結晶を顕微鏡観察。偏光フィルター使用。(使用機材:SWIFT SW380T)
顕微鏡写真集

ひまわりの茎・横断面/Sunflower Stem (Cross-Section)

ひまわりの茎を顕微鏡観察。横断面(C/S)(使用機材:SWIFT SW380T)